文章出處:愛胰協會網站
撰 文:羅東聖母醫院眼科 王瀚生醫師
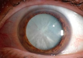
白內障是因水晶體混濁,導致視力障礙的一種疾病,通常可分為先天性與後天性兩種,其中又以後天性的老年性白內障為最常見。

老年性白內障是一種老化的現象,隨著年齡的增加,水晶體會慢慢發生硬化、混濁的情形,據統計資料顯示,國人白內障罹患率,五十歲以上有60%,六十歲以上有80%,七十歲以上則高達90%以上,所以老年性白內障可說是老年人很普遍的疾病。
一般來說,白內障的治療仍以手術為主,藥物治療通常沒有什麼療效,隨著醫學的進步,眼科手術已進入顯微手術的時代,人工水晶體的發展更使白內障手術後視力矯正臻於完美。
白內障的成因及症狀
簡單地說,白內障就是原來透明的水晶體有混濁的現象。水晶體位於虹膜與玻璃體之間,在正常的情況下水晶體是透明的,當光線透過角膜後,須經水晶體的拆射,才能將影像清晰的呈現在視網膜上,就好像照相機的鏡頭使光線聚焦在底片一樣。
白內障早期的症狀可能有視力模糊、色調改變、怕光、眼前黑點、複視、晶體性近視等,晚期症狀則為視力障礙日深,最後只能在眼前辨別手指或僅剩下光覺視力。

左圖是白內障患者所看到的圖像

左圖是正常人透明的水晶體,光線可以聚焦到視網膜上,右邊是老化白化的白內障水晶體,光線會被散射到視網膜上,無法聚焦成為清楚的影像,病人的感受就是影像模糊。
白內障可能的原因如下:
- 老年性白內障:為最常見的一種白內障,隨著年齡的增加,四、五十歲後,水晶體會慢慢發生硬化、混濁而漸造成視力的障礙。
- 外傷性白內障:車禍、鈍器傷害、尖銳物品的刺傷或穿透性眼內藥物所引起。
- 併發性白內障:因虹彩炎、青光眼、網膜色素病變等等引起的白內障。
- 代謝性白內障:如糖尿病、甲狀腺疾病等引起之白內障。
- 藥物性白內障:因長期使用類固醇等藥物所引起之白內障。
- 先天性白內障:由於遺傳性、染色體變異、胎內感染等所引起,嬰兒瞳孔內可見白色或灰色的混濁點,視力發展差。
白內障的治療
- 藥物治療:
市面上有許多號稱可溶解或使白內障停頓下來的眼藥水,但其實際效果仍未碓定。 - 白內障的手術療法:
手術治療為白內障唯一直接有效的治療方法。
白內障的手術方式,目前主要有超音波乳術和傳統手術方式兩種,這兩種手術方式,對於術後視力並不會有極大的差異,但是必需由眼科醫師根據手術時病患白內障的情形而決定採用不同的手術方式。
一般而言,超音波乳化術的切口較小,傷口甚至可以不用縫線,使用軟式的人工水晶體,手術後發炎反應的情形較小;而傳統手術方式,因使用硬式的人工水晶體,需要較大的切口,傷口需要縫線,手術後發炎反應的情形較超音波乳化術來的大。
麻醉方式採用根據醫師有不同的方式,有的醫師採用眼球後方麻醉藥注射的方式,有的醫師只使用眼藥水麻醉眼球表面,不需要注射任何麻醉劑。

上圖顯示的就是新型的超音波晶體乳化白內障手術,左圖就是把白內障的晶體乳化,吸除掉,中間的圖顯示置放人工水晶體的過程,右圖為手術完成後人工水晶體在眼內的圖示。 - 什麼時候才是白內障手術的適當時機?
然而很多人都以為要等到水晶體成熟硬化後才可以手術,其實是不對的,有些過度成熟的白內障,會引起晶體性青光眼,故不宜等到白內障過熟時再手術,以免發生合併症。
然而並沒有絕對的時機,依個人的生活需要而定,假如視力障礙已經影響到日常工作與生活習慣時,配戴眼鏡又無法校正的時候就可以開刀了。 - 白內障術後視力應如何矯正?
目前白內障手術,會同時置入人工水晶體,因此大部份不需眼鏡,即可顯著改善視力,少數病患若為更佳的視力來工作或閱讀時,可以輕度之眼鏡輔助之。 - 白內障術後有何影響?
手術後,水晶體置入眼內後,患者並不會有不舒服的感覺,若無嚴重外傷,水晶體也不會移位或脫落。
可是有部分病人於術後可能產生暫時性的乾眼症,容易流眼淚,畏光等症狀,若是忽視保養,可能會轉變為長期的乾眼症。保養方式是術後要按時點藥水,一個月後開始要熱敷,如此可以減少術後乾眼症的發生。
另外因為大部分的病人會抱怨手術後老花眼加重,其實是因為大部分人工水晶體是單焦點的,而且大部分醫師都是把病患的水晶體焦點定在遠方,讓看遠處的景物清晰,結果近處的物體反而會不清楚。所以有需要看書或是看電腦的時候,建議配戴老花眼鏡。
有關白內障手術前後的問題
- 手術前應作什麼檢查?
手術前應作眼部一般檢查及人工水晶體度數之計算。 - 糖尿病或高血壓患者可以動手術嗎?
糖尿病或高血壓患者可以接受手術,但是需要將血糖、血壓控制穩定後才可開刀。 - 手術後應注意什麼?
手術後最重要的是按照醫師的指示點藥水,以及保持眼部的清潔,術後2周內眼睛不可以碰觸自來水或是不乾淨的液體,也不可以揉眼睛,手術後一至兩個月內應避免提重物及激烈運動,刺激性的食物或煙酒也應避免。手術後早期應每星期回診一次,若有更加紅腫、疼痛、視力減退等現象,須馬上回診。基本上一般手術後1~3天,視力可漸穩定。 - 白內障手術後還會再生嗎?
目前白內障手術均保留原來之後囊,以便置入人工水晶體,此後囊幾個月或幾年後可能再度變厚而使視力模糊,叫做後發性白內障。此時可使用雅鉻雷射照射即可破壞此膜,恢復視力,不需再度開刀。 - 白內障手術有沒有併發症?
任何眼部的手術都可能會產生併發症,一般眼內手術併發感染機會約千分之一,必須立即治療。其他併發症,如眼壓持續昇高,葡萄膜炎、黃斑部水腫或視網膜剝離等,但很罕見。







.jpg)






